Скидка 50% на Доставку от 35,- € ☀️ Бесплатная Доставка от 55,- €

Аннотация: Стоматологические заболевания: Учебник

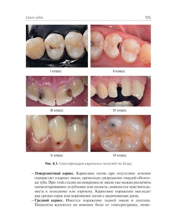
Учебник составлен в соответствии с требованиями федерального государственного образовательного стандарта среднего профессионального образования (2014) по специальности 31.02.05 «Стоматология ортопедическая» для методического обеспечения общепрофессиональной дисциплины «Стоматологические заболевания». Издание содержит необходимый объем информации, позволяющий овладеть профессиональными компетенциями. В учебнике рассмотрены оборудование и инструментарий стоматологического кабинета. В доступной форме изложены сведения о клинических проявлениях заболеваний челюстно-лицевой области, методы их диагностики и лечения. Подробно освещены теоретические аспекты кариеса и некариозных поражений зубов. В разделе, посвященном заболеваниям слизистой оболочки полости рта, подчеркнута связь данной патологии с состоянием организма, так как первые симптомы некоторых общих заболеваний (крови, эндокринной системы), а также заболеваний, передаваемых половым путем, могут проявляться в полости рта. Изучение раздела, описывающее заболевания пародонта, включает теоретические и клинические проблемы пародонтологии, а также вопросы ортопедического лечения заболевания. Должное внимание уделено теме профилактики болезней зубов и полости рта, рассмотрено понятие о профессиональной гигиене полости рта, а также приведены рекомендации по уходу за зубными протезами. В качестве иллюстративного материала использованы цветные фотографии, схемы, таблицы. В заключение каждого раздела предложены вопросы и задания для закрепления полученных знаний и самоконтроля. Предназначен студентам учреждений среднего профессионального образования и преподавателям отделений «Стоматология ортопедическая».

Бесплатная Доставка по Европе (EU)*

*Для заказов свыше 40, - евро Подробнее

Стоматологические заболевания: Учебник

-34%
  • Производитель: ГЭОТАР-Медиа
  • Модель: TEEI12036660
  • ISBN: 978-5-9704-6075-7
  • Наличие:
    Есть в наличии
  • 4.7
    (12 оценок)
  • 65.24€ 43.06€
Нашли этот товар по более низкой цене?
Во-первых - Вы молодец!
Просим Вас сообщить нам:

Мы проверим данные, и если информация подтвердится мы снизим цену на товар

Loading
Loading

Мы доставляем наши товары по всей Европе, включая страны ЕС, в том числе по Латвии, Эстонии, Литве, Германии, Италии, Франции, Нидерландам (Голландии), Бельгии, Австрии, Польше, Финляндии, Ирландии, Чехии, Швеции, Дании, Португалии, Греции, Болгарии, Словакии, Кипру, Словении, Венгрии, Люксембургу, Мальте, Румынии, Хорватии, а также по Израилю, Соединённым Штатам Америки (США), Великобритании, Швейцарии, Канаде, Норвегии. Подробнее...