Аннотация: Бруксизм
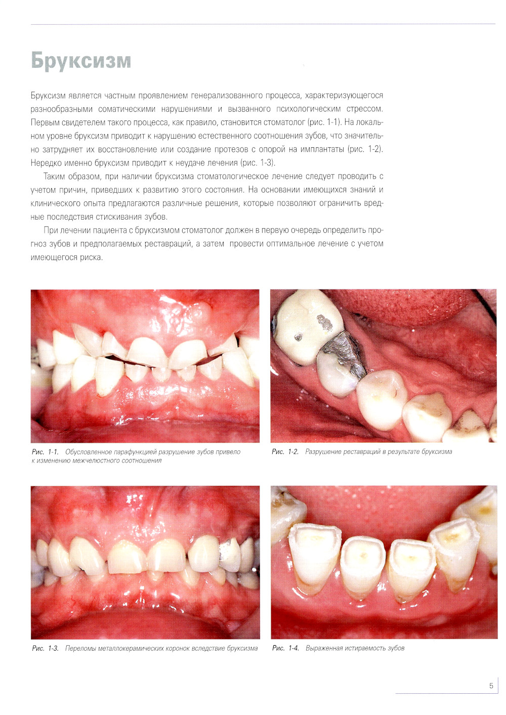
Бруксизм является очень распространенным клиническим феноменом, что создает значительные трудности при необходимости восстановления зубных рядов для улучшения их внешнего вида или повышения функциональной эффективности. Несмотря на значительное увеличение объема знаний о бруксизме, споры вокруг различных аспектов этого состояния не утихают. Данное Руководство предназначено для стоматологов, проводящих лечение пациентов с бруксизмом. В этой книге освещаются следующие вопросы, связанные с оказанием стоматологической помощи пациентам с бруксизмом: • Сроки проведения терапии. • Возможность устранения бруксизма. • Роль окклюзии в развитии и течении бруксизма. • Причины развития бруксизма. • Целесообразность продолжения лечебных мероприятий при бруксизме.| Издательство | Азбука стоматолога |
| Автор/составитель | Брокар Даниэль;Лалюк Жан-Франсуа;Кнеллесен Кристиан |
| Год выпуска | 2009 |
| Кол-во страниц | 90 |
| ISBN | 978-5-91443-014-3 |
| Обложка | переплет-твердая обложка |
| Вес | 591г |
| Формат | 29 x 22 cm |
| Тираж | 1000 |
| Возрастная категория | 16+ |
Бесплатная Доставка по Европе (EU)*
*Для заказов свыше 40, - евро Подробнее
Бруксизм
- Производитель: Азбука стоматолога
- Модель: TEEI10858580
- ISBN: 978-5-91443-014-3
- Наличие:
-
Срок доставки: 21 день
- (6 оценок)




