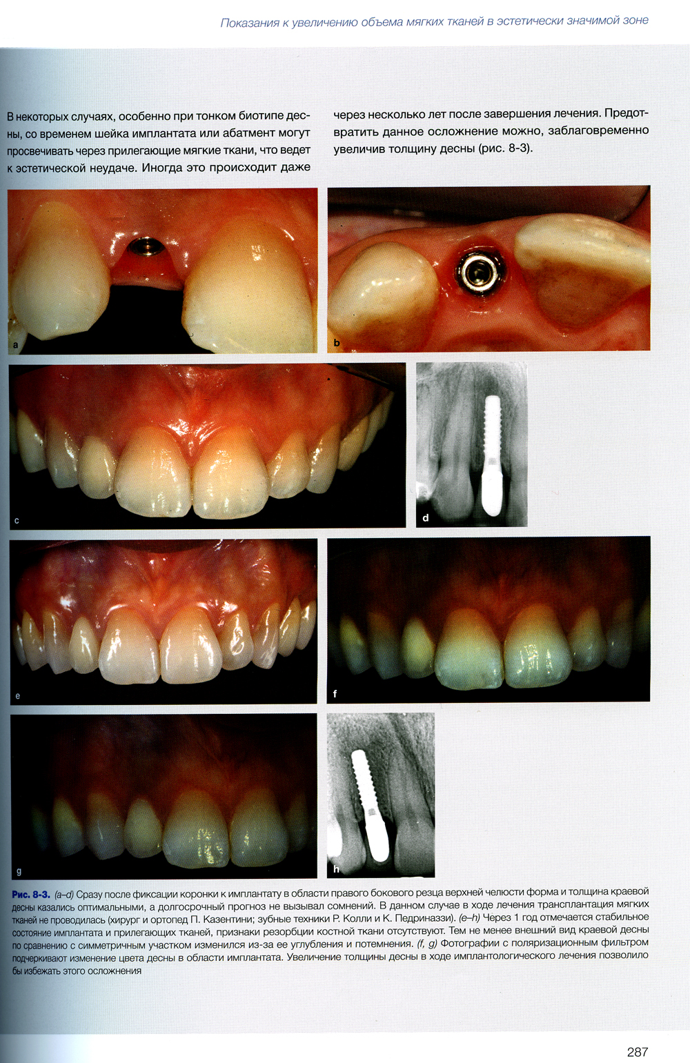
Аннотация: Эстетика мягких тканей в имплантологии
Остеоинтеграция, т.е. достижение непосредственного контакта между костью и поверхностью имплантата, остается необходимой, но больше не считается единственной целью имплантологического лечения. В настоящее время успех имплантации предполагает оптимальную интеграцию мягких тканей к ортопедическим конструкциям с опорой на имплантаты. Эстетика мягких тканей в области имплантатов сегодня стала настоящим святым Граалем. Для получения оптимального эстетического результата хирург должен не только владеть методами костной реконструкции, но и уметь выполнять соответствующие вмешательства на мягких тканях. Только в этом случае можно с уверенностью прогнозировать удовлетворительный эстетический результат. За многие годы обучения, после бессчетного количества курсов и лекций мы поняли, что наиболее важной составляющей современного последипломного образования является решение конкретных клинических задач с использованием реальных примеров. В этой книге суммирован наш 20-летний клинический и преподавательский опыт. В начале каждой главы перечислены определенные темы, которые освещаются в ее тексте. Кроме того, представлены наиболее эффективные методики для достижения поставленных целей, приведены научное обоснование, подробные рекомендации и проведен тщательный анализ. Мы попытались обсудить причины и следствия возникавших клинических ситуаций, а также показали альтернативные варианты достижения поставленных целей. И тем не менее в центре каждого случая лечения находится пациент. Безусловно, каждый из нас привнес собственные знания и опыт, но мы используем одинаковые подходы и надеемся, что наша книга станет полезной коллегам. Мы постарались представить вниманию читателей систематизированную информацию, четкое описание и исчерпывающие иллюстрации. Истинная ценность нашего опыта заключается не в демонстрации отдельных удачных исходов, но в использовании такого подхода, который позволяет прогнозируемо добиваться высоких результатов. Удаче не место в медицинской практике, а гордиться единичными успехами и тем более демонстрировать их в качестве подтверждения правильности того или иного метода просто безответственно. Везет не всем и не всегда. Наши пациенты заслуживают большего. Мы должны знать, понимать и уметь. Без научно обоснованного подхода и использования объективных данных невозможно правильно планировать лечение и прогнозируемо добиваться поставленных целей терапии.| Издательство | Дентал-Азбука |
| Автор/составитель | Кардарополе Даниэле;Казентини Паоло |
| Год выпуска | 2020 |
| Кол-во страниц | 514 |
| ISBN | 978-5-6042951-1-3 |
| Обложка | переплет-твердая обложка |
| Вес | 2683г |
| Формат | 29 x 22 cm |
| Тираж | 1000 |
| Возрастная категория | 16+ |
Бесплатная Доставка по Европе (EU)*
*Для заказов свыше 40, - евро Подробнее
Эстетика мягких тканей в имплантологии
- Производитель: Дентал-Азбука
- Модель: TEEI10859270
- ISBN: 978-5-6042951-1-3
- Наличие:
-
Срок доставки: 21 день
- (5 оценок)












