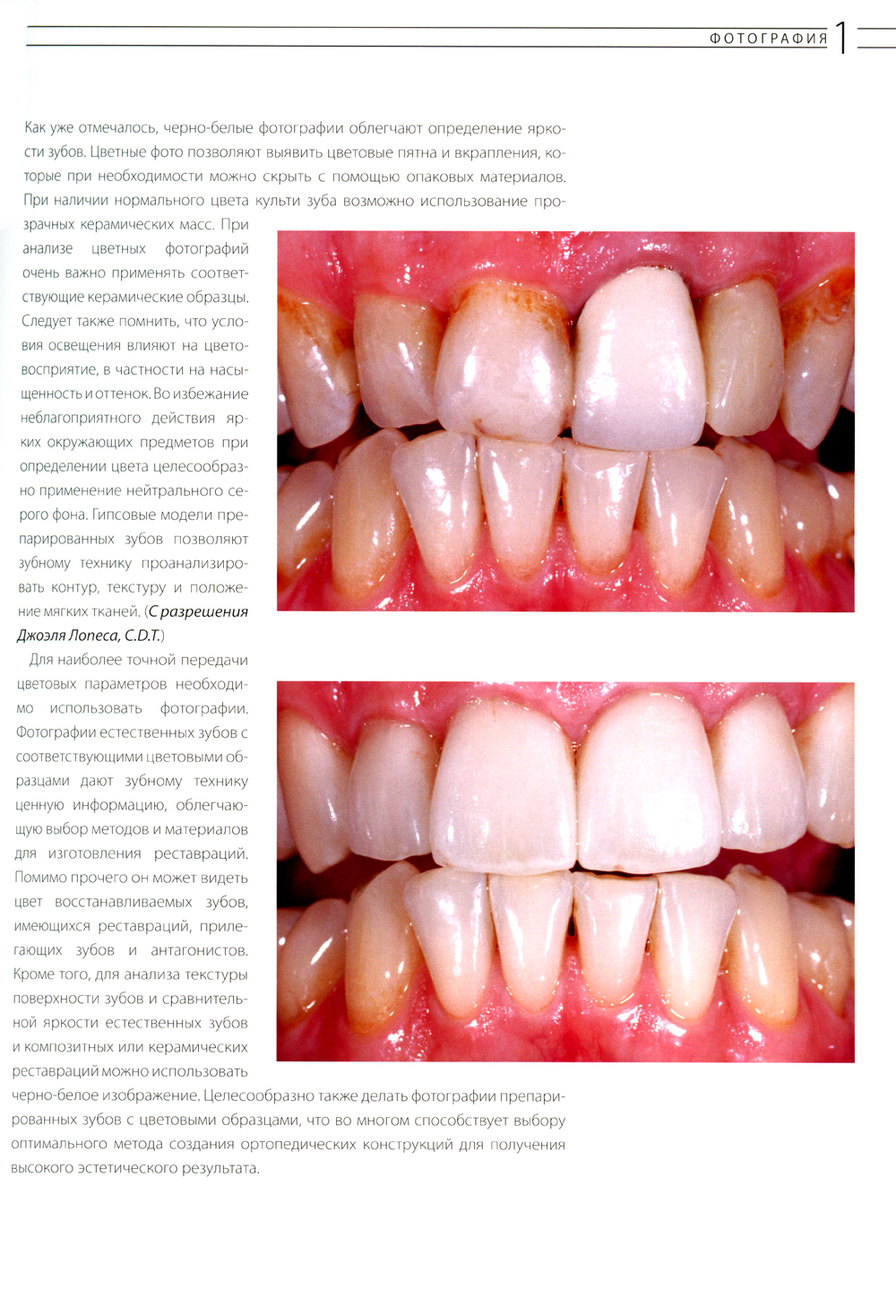
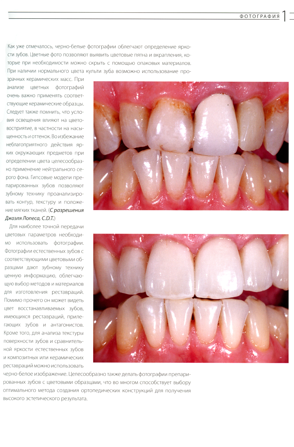
Аннотация: Эстетическая и реставрационная стоматология. Выбор материалов и методов
Для работы над своей книгой доктор Дуглас Терри привлек группу ведущих экспертов в разных областях стоматологии. В результате этого специалисты, которым она адресована, имеют возможность познакомиться с решением сложных клинических задач при использовании самых современных методов и материалов. Особое внимание в книге уделено диагностике, а также коммуникации участников процесса лечения. В ней тщательно проанализированы разные варианты препарирования зубов, получения оттисков, создания временных реставраций и окончательных протезов. Отдельная глава посвящена особенностям всегда актуальной проблемы фиксации виниров, мостовидных протезов, металлокерамических и цельнокерамических конструкций. Кроме того, Дуглас Терри включил в свою книгу главу, посвященную ведению клинической документации и фотографированию. В ней прекрасно описаны возможности пластических пародонтологических операций и имплантологии. Повышение требований пациентов к эстетическому результату стоматологического лечения привело к необходимости дальнейшего совершенствования материалов и методов изготовления реставраций зубов. В книге «Эстетическая и реставрационная стоматология. Выбор материалов и методов» своими знаниями поделились специалисты из Бразилии (доктор Луиш Баратьери), Франции (доктор Бернар Туати), США (Черилин Шитс), Австралии (доктор Хьен Нго) и многих других стран. В поисках лучших мастеров своего дела Дуглас Терри не пропустил никого.| Издательство | Азбука стоматолога |
| Автор/составитель | Терри Дуглас;Геллер Вилли |
| Год выпуска | 2013 |
| Кол-во страниц | 706 |
| ISBN | 978-5-91443-024-2 |
| Обложка | Футляр |
| Вес | 3984г |
| Формат | 29 x 22 cm |
| Тираж | 1000 |
| Возрастная категория | 16+ |
Бесплатная Доставка по Европе (EU)*
*Для заказов свыше 40, - евро Подробнее
Эстетическая и реставрационная стоматология. Выбор материалов и методов
-25%- Производитель: Азбука стоматолога
- Модель: TEEI10859230
- ISBN: 978-5-91443-024-2
- Наличие: Есть в наличии
-
Срок доставки: 21 день
- (6 оценок)
-
755.24€ 566.43€
Нашли этот товар по более низкой цене?
Во-первых - Вы молодец!
Во-первых - Вы молодец!
Просим Вас сообщить нам:


















