Аннотация: Имплантация в эстетически значимой зоне. Поэтапный алгоритм планирования лечения
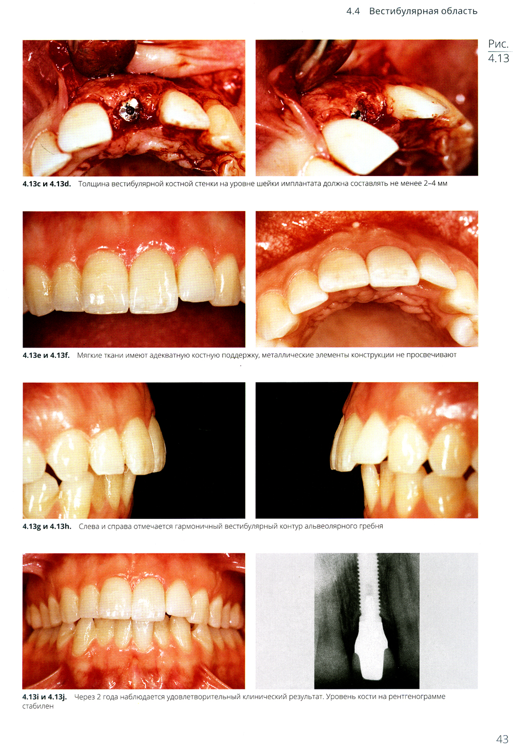
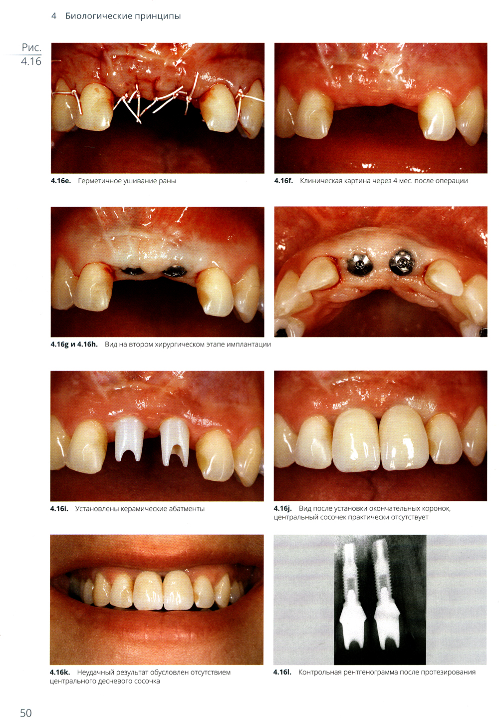
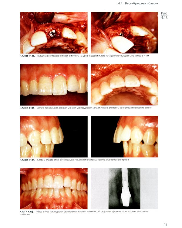
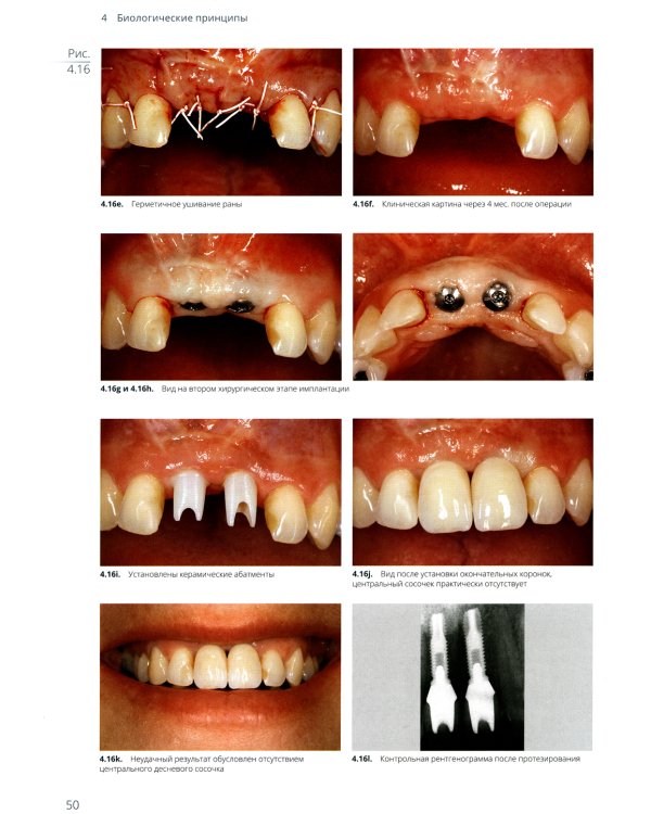
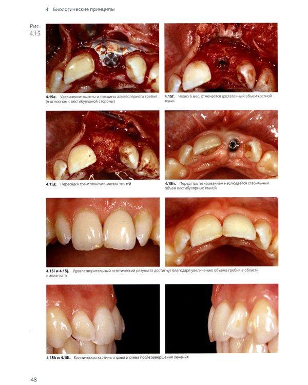
Имплантаты во многом расширили современные возможности стоматологического лечения.1 Однако, несмотря на то что научные исследования и клинический опыт, безусловно, подтверждают высокую эффективность имплантации, получить оптимальный эстетический результат при протезировании с опорой на имплантаты совсем не просто. При оценке только с точки зрения функции успех имплантологического лечения заключается в самом факте выживаемости имплантата. В таком случае уменьшение костной поддержки имплантата на 1-2 мм считается несущественным для его состоятельности. Если же цель терапии заключается в создании удовлетворительного внешнего вида зубных рядов, то рецессия краевой десны даже на 1 мм может привести к неудаче. Кроме того, нередко достижение оптимального эстетического результата затруднено неблагоприятными местными биологическими факторами. Неудивительно, что эта задача остается одной из наиболее сложных в стоматологии. В человеческом организме зубы выполняют особую функцию, в том числе сточки зрения влияния на альвеолярный гребень и прилегающие мягкие ткани. На тех участках, где в результате аномальных процессов не происходит формирования и развития зуба, альвеолярный гребень также не развивается. Таким образом, именно зубы определяют особенности ремоделирования костной и мягких тканей, а наличие зубов непосредственно обеспечивает гармоничное сочетание структур полости рта и внешний вид лица в целом. Утрата зубов приводит к атрофии поддерживающей их кости и изменению топографии мягких тканей, что неизбежно сопровождается ухудшением эстетического результата. Поэтому в эстетически значимой зоне очень важно предпринимать необходимые меры, направленные на профилактику или компенсацию неблагоприятных изменений альвеолярного гребня. Более того, экстракция зуба часто проводится на фоне инфекционного процесса, который определяет другой вид редукции кости - ее воспалительной резорбции. Благоприятный исход имплантологического лечения в одинаковой степени зависит от правильного выбора и проведения хирургического и ортопедического этапов. Каждый из этих этапов подразделяется на несколько последовательных стадий. Такой сложный по своей согласованности клинический процесс может быть успешно реализован только при четком понимании возможностей и ограничений всех запланированных манипуляций. Концепции имплантологического лечения, направленные на получение высокого эстетического результата, в целом сходятся на необходимости оценки определенных клинически значимых факторов в каждом конкретном случае. Как известно, одна и та же цель может быть достигнута с помощью нескольких вариантов терапии. Автор не утверждает, что представленные в этой книге материалы и методы являются единственно возможными, однако эффективность большинства из них подтверждается многолетним клиническим опытом. Каждая манипуляция подробно описана в тексте и продемонстрирована с помощью клинических слайдов. При этом отмечаются особенности применения альтернативных подходов. В последующих главах не только даны общие рекомендации, но и обсуждаются многие детали их практического применения, что отражено в названии данной монографии. Для прогнозируемого достижения оптимальных результатов и во избежание неприятных сюрпризов очень важно выбрать правильную стратегию лечения и строго следовать ей с учетом множества факторов.| Издательство | Азбука стоматолога |
| Автор/составитель | Грюндер Ули |
| Год выпуска | 2017 |
| Кол-во страниц | 836 |
| ISBN | 978-5-91443-047-1 |
| Обложка | переплет-твердая обложка |
| Вес | 3292г |
| Формат | 29 x 22 cm |
| Тираж | 1000 |
| Возрастная категория | 16+ |
Бесплатная Доставка по Европе (EU)*
*Для заказов свыше 40, - евро Подробнее
Имплантация в эстетически значимой зоне. Поэтапный алгоритм планирования лечения
- Производитель: Азбука стоматолога
- Модель: TEEI10858650
- ISBN: 978-5-91443-047-1
- Наличие:
-
Срок доставки: 21 день
- (6 оценок)












