☀️ Бесплатная Доставка 55,- €

Аннотация: Гипноз в клинике внутренних болезней. Опыт психотерапии — гипноза и внушения в клинике

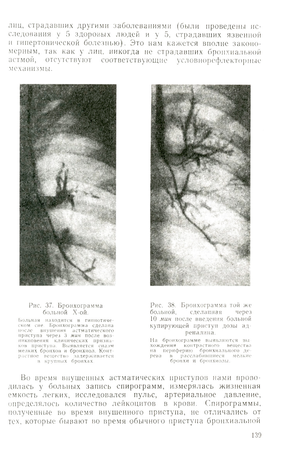
В монографии обобщен двадцатилетний опыт работы автора в клинике внутренних болезней и приводятся данные, полученные при лечении больных бронхиальной астмой, язвенной и гипертонической болезнью, стенокардией, а также различными функциональными расстройствами деятельности внутренних органов ("неврозы внутренних органов").В первой главе даются основные современные представления о психотерапии и ее главнейших методах - гипнозе и внушении. В этой же главе дается критика психоанализа Фрейда. Вторая глава посвящена детальному ознакомлению с техникой гипноза и внушения (организация гипнотария, определение степени гипнатизабельности, выбор способа гипнотизации, методы гипноза и внушения, виды гипноза, показания и противопоказания для применения гипнотерапии, особенности работы гипнотерапевта и др.). В третьей главе рассматриваются особенности реакций у больных внутренними заболеваниями при исследовании в гипнозе. Четвертая глава целиком посвящена гипнотерапии некоторых внутренних болезней (бронхиальная астма, гипертоническая и язвенная болезнь, стенокардия, дискенезии желчных путей и хронические холециститы, функциональные расстройства деятельности внутренних органов и др.). В этой главе рассматривается опыт применения гипнотерапии более чем 500 больных внутренними заболеваниями и 200 больных с неврозами внутренних органов и систем. Полученные результаты подверглись математической обработке для определения достоверности. В заключении приводится анализ работы и делается вывод о целесообразности и эффективности применения гипносуггестивной терапии в клинике внутренних болезней, даются советы и рекомендации методического характера начинающему гипнотерапевту. Книга рассчитана на широкий круг врачей и студентов медицинских институтов, желающих ознакомиться с основами психотерапии (гипноза и внушения), применяемых в клинике внутренних болезней при лечении некоторых соматических заболеваний.



Бесплатная Доставка по Европе (EU)*

*Для заказов свыше 40, - евро Подробнее

Гипноз в клинике внутренних болезней. Опыт психотерапии — гипноза и внушения в клинике

  • Модель: MYSH4583660
  • ISBN: 978-5-9519-2373-8
  • Наличие:
  • Срок доставки: 21 день
  • 4.5
    (10 оценок)
Loading
Loading

Мы доставляем наши товары по всей Европе, включая страны ЕС, в том числе по Латвии, Эстонии, Литве, Германии, Италии, Франции, Нидерландам (Голландии), Бельгии, Австрии, Польше, Финляндии, Ирландии, Чехии, Швеции, Дании, Португалии, Греции, Болгарии, Словакии, Кипру, Словении, Венгрии, Люксембургу, Мальте, Румынии, Хорватии, а также по Израилю, Соединённым Штатам Америки (США), Великобритании, Швейцарии, Канаде, Норвегии. Подробнее...